Mouse Anti-Human MMP-9-UNLB (SB15c)
Cat. No.:
12025-01
Purified Anti-Human MMP-9 antibody for use in immunohistochemistry / immunocytochemistry, ELISA, and western blot assays.
$226.00



Clone | SB15c |
---|---|
Isotype | Mouse (BALB/c) IgG2aκ |
Isotype Control | Mouse IgG2a-UNLB (HOPC-1) |
Specificity | Human/Mouse MMP-9 |
Alternative Names | Matrix metalloproteinase 9, gelatinase B, 92 kDa gelatinase |
Description | Matrix metalloproteinases (MMPs) are a family of at least 23 structurally related, zinc-containing enzymes that have the ability to breakdown connective tissue. MMP-9 has shown substrate specificity to collagens types IV, V, XI, and XIV as well as additional extracellular matrix components including gelatin, elastin, vitronectin, and laminin. |
Immunogen | Recombinant full length MMP-9 |
Conjugate | UNLB (Unconjugated) |
Buffer Formulation | Borate buffered saline, pH 8.2 |
Clonality | Monoclonal |
Concentration | 0.5 mg/mL |
Volume | 0.2 mL |
Recommended Storage | 2-8°C |
Applications |
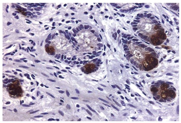
Immunohistochemistry-Paraffin Sections – Quality tested 1-3 ELISA 5 Immunocytochemistry 5 Western Blot – Reported in literature 4 |
RRID Number | AB_2794705 |
Gene ID |
4318 (Human) 17395 (Mouse) |
Gene ID Symbol |
MMP9 (Human) Mmp9 (Mouse) |
Gene ID Aliases | CLG4B; GELB; MANDP2; MMP-9 AW743869; B/MMP9; Clg4b; Gel B; MMP-9; pro-MMP-9 |
UniProt ID |
P14780 (Human P41245 (Mouse |
UniProt Name |
MMP9_HUMAN (Human) MMP9_MOUSE (Mouse) |
Documentation
Certificate of Analysis Lookup
Enter the Catalog Number and Lot Number for the Certificate of Analysis you wish to view
- 1. Ye H, Yu T, Temam S, Ziober BL, Wang J, Schwartz JL, et al. Transcriptomic dissection of tongue squamous cell carcinoma. BMC Genomics. 2008;9:69. (IHC-PS)
- 2. Ouvrier A, Alves G, Damon-Soubeyrand C, Marceau G, Cadet R, Janny L, et al. Dietary cholesterol-induced post-testicular infertility. PLoS One. 2011;6(11):e26966. (IHC-PS, Mouse Reactivity)
- 3. Stenvold H, Donnem T, Andersen S, Al-Saad S, Al-Shibli K, Busund L, et al. Overexpression of matrix metalloproteinase-7 and -9 in NSCLC tumor and stromal cells: correlation with a favorable clinical outcome. Lung Cancer. 2012;75:235-41. (IHC-PS)
- 4. Liu G, Liu Y, Yang Z, Zhu A, Zhao C. MicroRNA-524-5p suppresses the growth and invasive abilities of gastric cancer cells. Oncol Lett. 2016;11:1926-32. (WB)
- 5. SouthernBiotech unpublished data (ELISA, ICC)
See More