Rat Anti-Mouse IgE-UNLB (23G3)
Cat. No.:
1130-01
Purified Anti-Mouse IgE antibody for use in ELISA, flow cytometry, immunohistochemistry, western blot, and ELISpot assays.
$215.00
| Clone | 23G3 |
|---|---|
| Isotype | Rat IgG1κ |
| Isotype Control | Rat IgG1-UNLB (KLH/G1-2-2) |
| Specificity | Mouse IgE |
| Immunogen | Monoclonal anti-DNP mouse IgE |
| Conjugate | UNLB (Unconjugated) |
| Buffer Formulation | Borate buffered saline, pH 8.2 |
| Clonality | Monoclonal |
| Concentration | 0.5 mg/mL |
| Volume | 1.0 mL |
| Recommended Storage | 2-8°C |
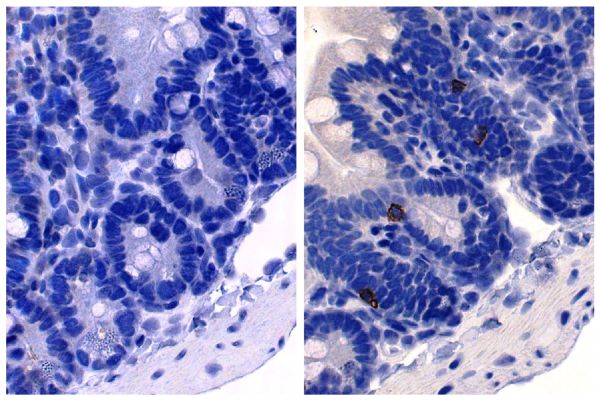
| Applications |
ELISA – Quality tested 1-11 FLISA – Quality tested Flow Cytometry – Reported in literature 12-16 Immunohistochemistry-Frozen Sections – Reported in literature 17,18 Immunohistochemistry-Paraffin Sections – Reported in literature 23 Immunohistochemistry-Whole Mount – Reported in literature 19 Western Blot – Reported in literature 5,21 ELISpot – Reported in literature 1,20 Neutralization – Reported in literature 22 |
| RRID Number | AB_2794615 |
| Gene ID |
380792 (Mouse) |
| Gene ID Symbol |
Ighe (Mouse) |
| Gene ID Aliases | Gm900 |
| UniProt ID |
P06336 (Mouse) |
| UniProt Name |
IGHE_MOUSE (Mouse) |
Documentation
Certificate of Analysis Lookup
Enter the Catalog Number and Lot Number for the Certificate of Analysis you wish to view
- 1. Petit-Frere C, Dugas B, Braquet P, Mencia-Huerta JM. Interleukin-9 potentiates the interleukin-4-induced IgE and IgG1 release from murine B lymphocytes. Immunology. 1993;79:146-51. (ELISA, ELISPOT)
- 2. Takahashi I, Marinaro M, Kiyono H, Jackson RJ, Nakagawa I, Fujihashi K, et al. Mechanisms for mucosal immunogenicity and adjuvancy of Escherichia coli labile enterotoxin. J Infect Dis. 1996;173:627-35. (ELISA)
- 3. Kasprowicz DJ, Kohm AP, Berton MT, Chruscinski AJ, Sharpe A, Sanders VM, et al. Stimulation of the B cell receptor, CD86 (B7-2), and the β2-adrenergic receptor intrinsically modulates the level of IgG1 and IgE produced per B cell. J Immunol. 2000;165:680-90. (ELISA)
- 4. Häggqvist B, Hultman P. Effects of deviating the Th2-response in murine mercury-induced autoimmunity towards a Th1-response. Clin Exp Immunol. 2003;134:202-9. (ELISA)
- 5. Lehrer SB, Reish R, Fernandes J, Gaudry P, Dai G, Reese G. Enhancement of murine IgE antibody detection by IgG removal. J Immunol Methods. 2004;284:1-6. (ELISA, WB)
- 6. Ramalingam TR, Pesce JT, Sheikh F, Cheever AW, Mentink-Kane MM, Wilson MS, et al. Unique functions of the type II interleukin 4 receptor identified in mice lacking the interleukin 13 receptor α1 chain. Nat Immunol. 2008;9:25-33. (ELISA)
- 7. Li F, Wang L, Jin X, Yan C, Jiang S, Shen X. The immunologic effect of TGF-beta1 chitosan nanoparticle plasmids on ovalbumin-induced allergic BALB/c mice. Immunobiology. 2009;214:87-99. (ELISA)
- 8. Kamphuis T, Meijerhof T, Stegmann T, Lederhofer J, Wilschut J, de Haan A. Immunogenicity and protective capacity of a virosomal respiratory syncytial virus vaccine adjuvanted with monophosphoryl lipid A in mice. PLoS One. 2012;7(5):e36812. (ELISA)
- 9. Futatsugi-Yumikura S, Matsushita K, Fukuoka A, Takahashi S, Yamamoto N, Yonehara S, et al. Pathogenic Th2-type follicular helper T cells contribute to the development of lupus in Fas-deficient mice. Int Immunol. 2014;26:221-31. (ELISA)
- 10. Stefka AT, Feehley T, Tripathi P, Qiu J, McCoy K, Mazmanian SK, et al. Commensal bacteria protect against food allergen sensitization. Proc Natl Acad Sci USA. 2014;111:13145-50. (ELISA)
- 11. Pucella JN, Yen W, Kim MV, van der Veeken J, Socci ND, Naito Y, et al. miR-182 is largely dispensable for adaptive immunity: lack of correlation between expression and function. J Immunol. 2015;194:2635-42. (ELISA)
- 12. Kuzin II, Snyder JE, Ugine GD, Wu D, Lee S, Bushnell T Jr, et al. Tetracyclines inhibit activated B cell function. Int Immunol. 2001;12:921-31. (FC)
- 13. Huber M, Kalis C, Keck S, Jiang Z, Georgel P, Du X, et al. R-form LPS, the master key to the activation of TLR4/MD-2-positive cells. Eur J Immunol. 2006;36:701-11. (FC)
- 14. Seidl A, Panzer M, Voehringer D. Protective immunity against the gastrointestinal nematode Nippostrongylus brasiliensis requires a broad T-cell receptor repertoire. Immunology. 2011;134:214-23. (FC)
- 15. Kamijo S, Takeda H, Tokura T, Suzuki M, Inui K, Hara M, et al. IL-33-mediated innate response and adaptive immune cells contribute to maximum responses of protease allergen-induced allergic airway inflammation. J Immunol. 2013;190:4489-99. (FC)
- 16. Muto T, Fukuoka A, Kabashima K, Ziegler SF, Nakanishi K, Matsushita K, et al. The role of basophils and proallergic cytokines, TSLP and IL-33, in cutaneously sensitized food allergy. Int Immunol. 2014;26:539-49. (FC)
- 17. Brown JK, Knight PA, Pemberton AD, Wright SH, Pate JA, Thronton EM, et al. Expression of integrin-αE by mucosal mast cells in the intestinal epithelium and its absence in nematode-infected mice lacking the transforming growth factor-β1-activating integrin αvβ6. Am J Pathol. 2004;165:95-106. (IHC-FS)
- 18. Inman CF, Rees LE, Barker E, Haverson K, Stokes CR, Bailey M. Validation of computer-assisted, pixel-based analysis of multiple-colour immunofluorescence histology. J Immunol Methods. 2005;302:156-67. (IHC-FS)
- 19. Pochanke V, Koller S, Dayer R, Hatak S, Ludewig B, Zinkernagel RM, et al. Identification and characterization of a novel antigen from the nematode Nippostrongylus brasiliensis recognized by specific IgE. Eur J Immunol. 2007;37:1275-84. (IHC-WM)
- 20. Padro CJ, Shawler TM, Gormley MG, Sanders VM. Adrenergic regulation of IgE involves modulation of CD23 and ADAM10 expression on exosomes. J Immunol. 2013;191:5383-97. (ELISPOT)
- 21. Ambrosi G, Ghezzi C, Sepe S, Milanese C, Payan-Gomez C, Bombardieri CR, et al. Bioenergetic and proteolytic defects in fibroblasts from patients with sporadic Parkinson's disease. Biochim Biophys Acta. 2014;1842:1385-94. (WB)
- 22. Dakhama A, Lee Y, Ohnishi H, Jing X, Balhorn A, Takeda K, et al. Virus-specific IgE enhances airway responsiveness on reinfection with respiratory syncytial virus in newborn mice. J Allergy Clin Immunol. 2009;123:138-45. (Neut)
- 23. SouthernBiotech published data (IHC-PS)
See More












