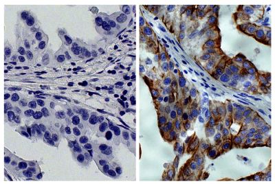
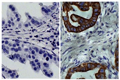
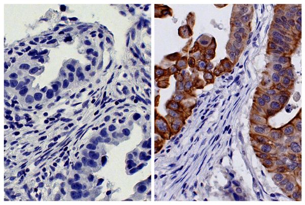
Mouse Anti-Cytokeratin 18-HRP (SB38b)
Cat. No.:
10085-05
HRP Anti-Cytokeratin 18 antibody for use in immunohistochemistry / immunocytochemistry, ELISA, and western blot assays.
$347.00
| Clone | SB38b |
|---|---|
| Isotype | Mouse (BALB/c) IgG2bκ |
| Isotype Control | Mouse IgG2b-HRP (A-1) |
| Specificity | Cytokeratin 18 |
| Alternative Names | CK 18, keratin 18 |
| Description | Keratins are a family of intermediate filament proteins that assemble into filaments through forming heterodimers of one type I keratin (keratins 9 to 23) and one type II keratin (keratins 1-8). The two keratin types share only 30% sequence homology. Keratins demonstrate tissue- and differentiation-specific expression profiles. Cytokeratin 18 is a type I intermediate filament protein that exists as a heterotetramer composed of two type I and two type II keratins. Cytokeratin 18 is expressed in all simple type epithelia and basal cells of many squamous and non-epidermal epithelia and is often co-expressed with cytokeratin 8. Tissues from the gastrointestinal tract, respiratory tract, and urogenital tract as well as endocrine and exocrine tissues and mesothelial cells are positive for cytokeratin 18. |
| Immunogen | Recombinant N-terminal cytokeratin 18 |
| Conjugate | HRP (Horseradish Peroxidase) |
| Buffer Formulation | 50% Glycerol/50% Phosphate buffered saline, pH 7.4 |
| Clonality | Monoclonal |
| Concentration | Lot specific |
| Volume | 1.0 mL |
| Recommended Storage | 2-8°C |
| Applications |
ELISA – Quality tested FLISA – Quality tested Immunohistochemistry-Paraffin Sections 1 Immunocytochemistry 1 Flow Cytometry 2 Western Blot 2 |
| RRID Number | AB_2794115 |
| Gene ID |
3875 (Human) |
| Gene ID Symbol |
KRT18 (Human) |
| Gene ID Aliases | CK-18; CYK18; K18 |
| UniProt ID |
P05783 (Human) |
| UniProt Name |
K1C18_HUMAN (Human) |
Documentation
Certificate of Analysis Lookup
Enter the Catalog Number and Lot Number for the Certificate of Analysis you wish to view
- 1. SouthernBiotech published data (IHC-PS, ICC)
- 2. SouthernBiotech unpublished data (FC, WB)





