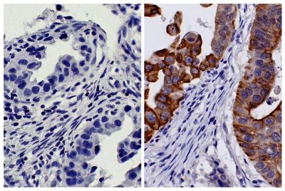
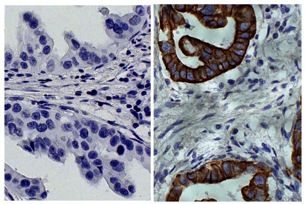
Mouse Anti-Cytokeratin 19-HRP (SB39g)
Cat. No.:
10090-05
HRP Anti-Cytokeratin 19 antibody for use in immunohistochemistry / immunocytochemistry, ELISA, and western blot assays.
$347.00
| Clone | SB39g |
|---|---|
| Isotype | Mouse (BALB/c) IgG2aκ |
| Isotype Control | Mouse IgG2a-HRP (HOPC-1) |
| Specificity | Cytokeratin 19 |
| Alternative Names | CK 19, keratin 19 |
| Description | Keratins are a family of intermediate filament proteins that assemble into filaments through forming heterodimers of one type I keratin (keratins 9 to 23) and one type II keratin (keratins 1-8). The two keratin types share only 30% sequence homology. Keratins demonstrate tissue- and differentiation-specific expression profiles. Cytokeratin 19 is the smallest human keratin. It is found in many simple and some non-keratinizing stratified squamous epithelia and is often co-expressed with keratin 7. Cytokeratin 19 has been implicated as a marker for stem cells in some tissues such as hair follicles in the skin. Monoclonal antibodies to cytokeratin proteins can be useful markers for tumor identification and classification. The degree of cytokeratin 19 positivity in breast cancer distinguishes malignant from benign tumors. Cytokeratin 19 is also associated with malignant transformation in esophageal and pancreatic cancers. |
| Immunogen | Recombinant C-terminal cytokeratin 19 |
| Conjugate | HRP (Horseradish Peroxidase) |
| Buffer Formulation | 50% Glycerol/50% Phosphate buffered saline, pH 7.4 |
| Clonality | Monoclonal |
| Concentration | Lot specific |
| Volume | 1.0 mL |
| Recommended Storage | 2-8°C |
| Applications |
ELISA – Quality tested FLISA – Quality tested Western Blot – Quality tested Immunohistochemistry-Paraffin Sections 2 Immunocytochemistry 2 Flow Cytometry – Reported in literature 1 Immunoprecipitation 3 |
| RRID Number | AB_2794119 |
| Gene ID |
3880 (Human) |
| Gene ID Symbol |
KRT19 (Human) |
| Gene ID Aliases | K19; CK19; K1CS |
| UniProt ID |
P08727 (Human) |
| UniProt Name |
K1C19_HUMAN (Human) |
Documentation
Certificate of Analysis Lookup
Enter the Catalog Number and Lot Number for the Certificate of Analysis you wish to view
- 1. Berglin L, Björkström NK, Bergquist A. Primary sclerosing cholangitis is associated with autoreactive IgA antibodies against biliary epithelial cells. Scand J Gastroenterol. 2013;48:719-28. (FC)
- 2. SouthernBiotech published data (IHC-PS, ICC)
- 3. SouthernBiotech unpublished data (IP)





